松本デンタルオフィス東大和では、患者様に質の高い歯科医療を提供するため、東大和市と連携し、
第三者機関であるNPO法人「日本歯科医療評価機構」の協力のもと、患者様満足度調査を実施しています。
この取り組みを通じて、患者様から率直なご意見をいただき、改善すべき点があれば真摯に受け止め、
医療サービスや対応の向上に反映しています。
なお、調査にご協力いただく際、患者様の個人情報が当院に直接共有されることはありませんので、
安心してご意見をお寄せください。調査結果は「第三者機関による患者様アンケート結果」にて公開しておりますので、ぜひご覧ください。
医院コンセプト
東大和市の歯医者・歯科、松本デンタルオフィス東大和では、口腔内の機能回復を一番に考え患者さまに健康な生活を行って頂く為に、大学病院出身の専門ドクターと連携し、チーム医療でみなさまのお口の健康を守り・より質の高い治療CTなどの最新医療機器を導入して正確な診断を行い、高度な治療を提供しております。また、清潔な院内環境厳しい審査基準をクリアした滅菌機器を使用し、院内感染防止につとめております。
東大和市と提携し
患者様満足度向上の取り組み
日本歯科医療評価機構
について
松本デンタルオフィス東大和では、患者様に質の高い歯科医療を提供するため、東大和市と連携し、
第三者機関であるNPO法人「日本歯科医療評価機構」の協力のもと、患者様満足度調査を実施しています。
この取り組みを通じて、患者様から率直なご意見をいただき、改善すべき点があれば真摯に受け止め、
医療サービスや対応の向上に反映しています。
なお、調査にご協力いただく際、患者様の個人情報が当院に直接共有されることはありませんので、
安心してご意見をお寄せください。調査結果は「第三者機関による患者様アンケート結果」にて公開しておりますので、ぜひご覧ください。
このように、広告規制を遵守しながら信頼できる情報を発信し、歯医者・歯科として患者様に寄り添った診療を提供しております。
選ばれる6つの理由
総合的な診査・診断
当院では、頭部全体を撮影できる高性能の歯科用CTを使用して、お口全体をあらゆる角度から診断。総合的な治療を行います。歯科用CTはお口全体を立体的(3D)に捉え、口腔内の奥行・顎骨・根の状態を詳細に見ることで、見落としを限りなく少なくして安全で確実な治療が実現できます。
ていねいなカウセリング
歯科医院で治療を受ける際、患者さまは様々なご不安やご心配を抱えていらっしゃいます。当院ではカウンセリングを重視し、ゆっくりていねいにお話を伺った上で、ご要望に沿った治療方法のご提案をすることを心がけております。
快適な院内環境と最新設備
CT(Computed Tomography)は、コンピューターでデータ処理と画像解析を行うエックス線診断装置です。当院では、スイッチ一つでCT撮影とパノラマレントゲン撮影の切り替えができる「カボ(KaVo)の歯科用CT」を導入し、診断の精度を高めています。
再発を防ぐ根本治療
時間やお金をかけてむし歯や歯周病の治療を行っても、再発すると今までの努力が無駄になってしまいます。歯を悪くしている根本的な原因から治さなければ、歯を長く保つことはできません。当院では、専門ドクターとの連携による再発のない根本治療に取り組んでおります。
痛みの少ない治療
当院では、強い痛みの出る可能性のある治療には麻酔を使って痛みをコントロールし、できる限り痛みの少ない治療に取り組んでおります。痛みがなくなれば緊張もほぐれ、痛みへの不安や嘔吐反射の強い方でも、安心して治療を受けていただけるようになります。
なるべく抜かない
削らない治療
なるべく歯を抜かずに長持ちさせることを優先に考え可能な限り歯を削らないラミネートべニア治療・歯を残すための根管治療を行い患者さまのご要望にお応え出来るよう総合歯科診療を行い治療に当たります。
松本デンタルオフィス東大和 診療の特徴
01
審美・機能性のある
インプラント治療
Team Approach to Health Care
当院のインプラント治療は、口腔内全体のバランスを考えた治療です。CT画像で精密に診査・診断を行い、かみ合わせた際のバランスを綿密にシミュレーションするため、安全で確実な手術で審美的で自然な状態に仕上げます。顎骨の幅や高さには個人差があり、インプラントの埋入が難しい場合もあります。そのような場合には骨量を増やしてからインプラント治療を行います。
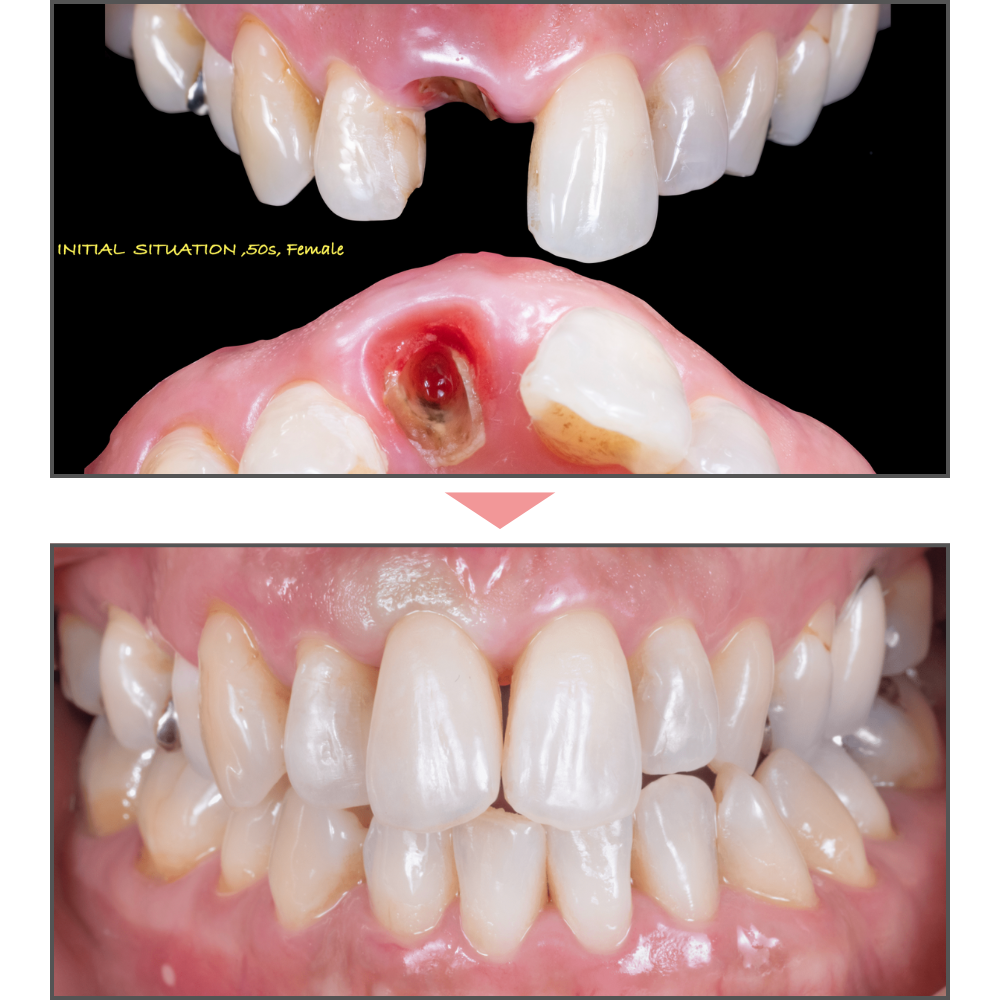
| 治療名 | 前歯インプラント治療 |
|---|---|
| 患者情報 | 50代女性 |
| 執刀医 | 松本院長 |
| 治療内容 | 食事中に前歯が破折し、インプラント治療を希望し来院。 |
| 治療期間 | 4ヶ月 |
| 費用(税込) | ¥462,000 |
| リスク | 残っている歯の一部を残してインプラントを入れることによって、歯茎が下がるのを抑えることができます。 |
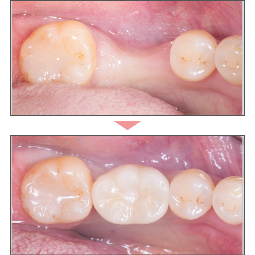
| 治療名 | 臼歯インプラント治療 |
|---|---|
| 患者情報 | 50代女性 |
| 執刀医 | 松本院長 |
| 治療内容 | 奥歯1本のインプラント治療を希望され来院。 |
| 治療期間 | 4ヶ月 |
| 費用(税込) | ¥462,000 |
| リスク: | インプラントを正確に入れることによって、セラミックの破折を最小限に抑えることができます。 |
02
技工力の高い
審美治療
High-Quality Medical Care
審美性や汚れにくさを考慮し、メタルフリー(金属を使わない)のものを中心にご提案をしております。金属が溶け出し、金属アレルギーを起こす心配がありませんので安心して長くお使いいただけます。ご要望を伺いながら、ベストな素材をご提案し審美治療を行います。
| 治療名 | 前歯セラミック治療 |
|---|---|
| 患者情報 | 50代男性 |
| 執刀医 | 松本院長 |
| 治療内容 | 不適合な古いセラミックを全て外して、セラミックにて全体的な再治療を行いました。 |
| 治療期間 | 約1年 |
| 費用(税込) | ¥550,000 |
| リスク | セラミックはかけることもありますが、ジルコニアを使用することによって最小限に抑えられます。 |
| 治療名 | 臼歯セラミック治療・インプラント治療 |
|---|---|
| 患者情報 | 40代男性 |
| 執刀医 | 松本院長 |
| 治療内容 | 入れ歯だった方にセラミック治療とインプラント治療を行いました。 |
| 治療期間 | 約3ヶ月 |
| 費用(税込) | ¥1,716,000 |
| リスク | 当院は必ずガイデットサージェリーを使用します。それで偶発症をできる限り防いでいます。またスクリューを埋める穴も審美にこだわり治療をしています。 |
03
美しい笑顔と
噛む力を
取り戻す全顎治療
Full Mouth Rehabilitation
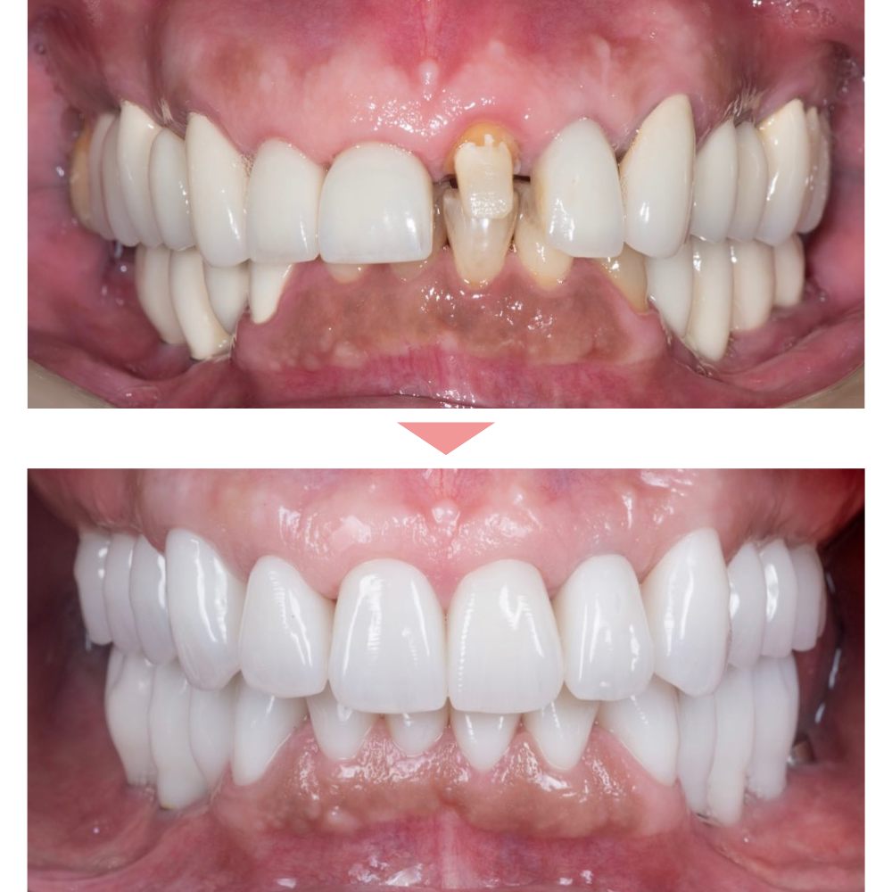
歯がボロボロ・噛めない・人前で笑えないとお悩みの方へ。CTや噛み合わせ分析などの精密検査をもとに、インプラントやセラミックなどを組み合わせた全顎治療で、お口全体の機能と見た目の回復を目指します。まずはカウンセリングで現在の状態と治療の選択肢をご相談ください。
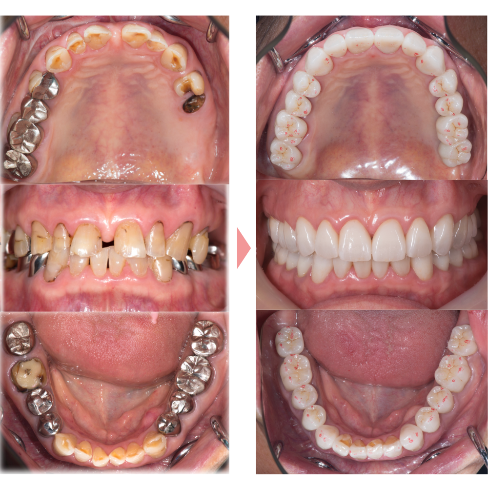
| 治療名 | 全顎セラミック治療 |
|---|---|
| 患者情報 | 70代男性 |
| 執刀医 | 松本院長 |
| 治療内容 | すり減ってきた歯となくなった歯も含め全体的に綺麗にしたいとのことで、全顎的にセラミック治療を行った。 |
| 治療期間 | 1年6ヶ月 |
| 費用(税込) | ¥5,000,000 |
| リスク | 神経のない歯は、歯根破折のリスクがありますので、定期的なメンテナンスが必要です。 |
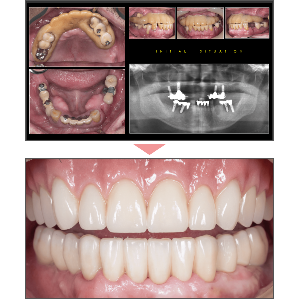
| 治療名 | 全顎インプラント治療 |
|---|---|
| 患者情報 | 70代男性 |
| 執刀医 | 松本院長 |
| 治療内容 | 保存不可能なインプラントを抜去して、新しいインプラントを入れ変えました。 インプラントガイドを使用することによってこのような結果を出すことができます。 |
| 治療期間 | 約6ヶ月 |
| 費用(税込) | ¥3,850,000 |
| リスク | インプラントのネジが緩むことはありますが、なるべく連結しないような設計にしているので、問題をはやく見つけやすくしております。 |
診療内容
お口のお悩みがございましたら、
お気軽に当院までご相談ください。
松本デンタルオフィス東大和では、東大和市の皆さまに安心・安全に治療を受けていただける歯医者・歯科であるよう、最新の医療機器を備え、院内感染防止も徹底しております。また、大学病院出身の専門ドクターと提携してチームで診療にあたることで、根管治療や矯正治療、インプラント治療といった専門性の高い治療も院内で受けられるようになっているのが自慢です。
待ち時間には患者さまに快適にお過ごしいただけるよう、清潔感あふれるゆったりとした空間をご用意しております。また、患者さまを長時間お待たせすることのないよう、完全予約制を導入しておりますので、スケジュールの面でも安心です。
東京都東大和市
について
東大和市の歯医者・歯科、松本デンタルオフィス東大和がある東京都東大和市は、豊かな自然と歴史的な背景を持ち、現代では子育てしやすい環境が整った街です。交通の利便性も高く、都心へのアクセスも良好であるため、多くの家族にとって理想的な住環境を提供しています。豊かな自然環境と充実した商業施設が調和するこの街で、クチコミ、おすすめ、評判される歯医者を目指し人々のお口の健康を守って行きたいと考えています。ぜひこの魅力を感じてみてください。
| 診療時間 | 月 | 火 | 水 | 木 | 金 | 土 | 日 | 祝 |
|---|---|---|---|---|---|---|---|---|
| 9:00~13:00 | ● | ● | ● | ● | ● | ● | 休 | 休 |
| 14:00~18:00 | ● | ● | ● | ● | ● | ▲ | 休 | 休 |
▲17:00まで 休診日:日曜・祝日
アクセス
西武拝島線「東大和駅」より西武バス「新堀」下車 徒歩3分
ホームページ運営
について
松本デンタルオフィス東大和では医療法に基づく広告規制を厳守し、法令に従った適切な情報発信に努めています。
具体的には、医療広告ガイドラインに従い、歯科医療や病院、診療所に関連する広告に関して、正確で信頼性の高い情報を提供し、患者様の信頼を得ることを重視しています。
・歯科医業や医業や、病院や診療所に関する広告に関する指針(医療広告ガイドライン)
このように、広告規制を遵守しながら信頼できる情報を発信し、歯医者・歯科として患者様に寄り添った診療を提供しております。





























